Kauf einen jungen Hund und du wirst für Dein Geld wild entschlossene
Liebe bekommen. (Rudyard
Kipling)
Wir planen den ersten Wurf mit Frida und haben dafür
Luca ausgesucht. Ich bin überzeugt, dass die beiden
wunderbar harmonieren
13.04.2026
Die Kleinen sind da.
Wir sind überglücklich Frida versorgt ihre 10 Babys
(6 Jungs und 4 Mädels) so liebevoll, dabei ist es
ihr
erster Wurf. Supertolle Hündin meine kleine Frida

10.April 2026 -
60. Trächtigkeitstag
Bald ist es soweit. Seit dem Ultraschall ist der
Bauchumfang um 26 cm gestiegen
21. März 2026 - 40.
Trächtigkeitstag
So ca. ab dem 38.
Tag sehen die Föten
nun aus wie Hunde. Das Geschlecht steht fest.
Sie sind jetzt ziemlich resistent
gegen Störungen in der Entwicklung.
Die Föten
wiegen ca. 6 Gramm und sind ca. 45 mm lang
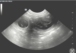
7. März 2026 - 26.
Tächtigkeitstag:
Heute waren wir beim Ultraschall und kommen mit der
glücklichen Botschaft heim: Frida ist tragend
Zwischen dem 18 . – 20 . Tag nisten sie sich
dann ein und die Ausbildung der Plazenta beginnt
Am 20. Tag besitzt nun auch jeder Embryo seinen
festen Platz.
Mit 25 Tagen sind die
Embryonen ca. walnussgroß

24.02.2026 - 15.
Trächtigkeitstag:
jetzt liegen die sich weiter teilenden
Embryonen zunächst für ca. 5 – 7 Tage frei in der
Gebärmutter.
Danach verteilen sie sich gleichmäßig in
den Gebärmutterhörnern




Luca und Frida